Medical Information Network for Divers Education and Research





              軽・重度 減圧症の治療とその予後  過去の事例


                                       土居 浩   牧田総合病院 脳神経外科






    《はじめに》  

      減圧症の治療に関しては、現在も実際の治療に関わる医師の数も少なく、救急の先生方の経験も少なく、また地域特性も
     あり解決しない問題もあり、高気圧酸素治療の学会に参加する医師たちの増多が待たれている現状と思われる。

     第二種装置のある病院から転勤した病院で、現在啓蒙活動中で、高気圧環境・潜水医学会の専門医の先生や資格のある
     臨床工学士たちも徐々に理解する現状です。



   【対象】  

      平成7年1月から平成27年8月までの約20年 間に治療した896例を対象とした。治療体制は重症例に対しては緊急再圧
     治療(原則米海軍6表)を行い入院加療。軽症例に対しては米海軍 T6もしくはT5を予定し治療を行ってきた。

     重症例の兆候としては、意識障害、四肢麻痺、対麻痺、膀胱直腸障害などを来す、 脳脊髄型減圧症、呼吸困難を来すChokes型、
     特殊な腹痛を呈する空気塞栓関連、骨頭壊死を来す症例が含まれる。この際に伴うことが多い大理石斑にも言及する。


   【結果】  

      このなかで重症例は45例(4.4%)であった。 重症例は脳脊髄型で意識障害37例、チョーク ス型2例、腹腔内の空気塞栓
     3例、骨壊死2例であった、いわゆるメニエル型は重症例には含めなかった。
 
     24時間体制で電話での対応で判断し,重症と判断した 場合緊急再圧治療を行っ た。軽症と判断する場合来院日を指示し、
     予定再圧治療を行い不幸な転帰をきたした症例はな かった。

     なお重症例に関しては、発症早期に再圧治療を行うことが理想であるが、地域特性によっては困難で、 今後も連携を含めより
     ネット ワーク作りが重要であると思われる。伊豆における搬送体制は問題無くなっているが、伊豆七島での事故や、その他の
     地域も搬送体制の確立が重要と考えている。

     この重症例45例のうち最大深度25m以上が35例認めたが、本数の問題は有意差が無く、潜水時間は長い症例が多く 認めら
     れたが、カルテ上の記載が不十分で分析できなかった。  

     重症例のなかで死亡症例は1例認めた。症例 を提示する


    症 例 :  61歳男性。 潜水士  
             既往歴:減圧症の経験はあるが、その際に“ふ かし”で対応していたとのこと。

             現病歴:H28年2月1日も全く下記同様の作業を行い、特記症状の出現はなし。
             H28年2月2日小田原港沖合100mのところで海底37mの丸太処理を90分行い、その後水深9mで8分停止。
             水深6mで 20分停止。このとき体全体の痛み出現。船に上がってきたが、腹痛、背 部痛が強く、両下肢の
             不全麻痺で起立困難の状態で小田原港上陸。11:30救急要請。

             12:35 荏原病院に向け出発。
                   出発時SpO2が80台で不安定、血圧は 119/87。意識は清明であった。

             13:41 当院着、血圧すでに60台。意識は清明であったが、全身の痛みが強く自制 困難であった。
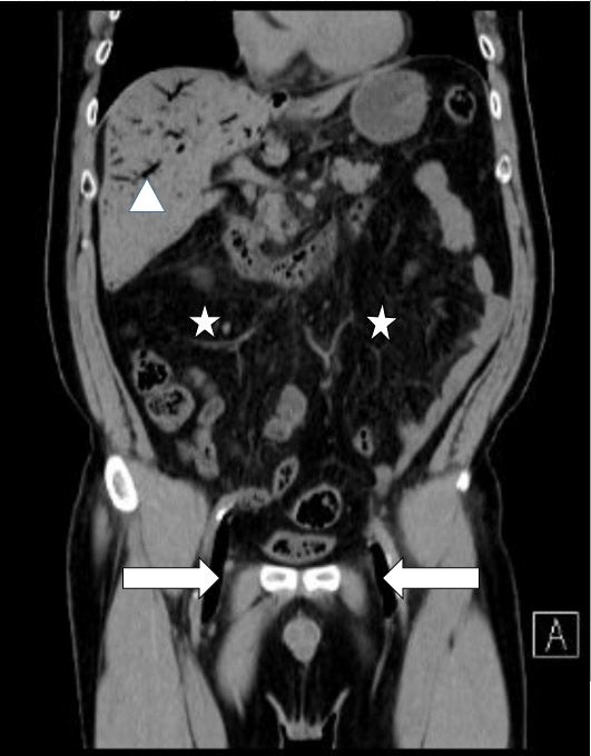
                   CT上門脈内、両大腿 静脈に空気塞栓、 さらに腸管壁周囲にびまん性の気泡が検出され(図1)、



                   

                   図1 : 来院時腹部 CT

                        矢印:大腿静脈内の気泡  星印:腸管壁に気泡著明  矢頭:門脈内に空気塞栓


             最重症の減圧症として緊急再圧治療を都合3回施行したが、3回目のT6の最中、残30分のところで、 心肺停止と
             なり、2種装置内で筆者が蘇生しながら、ICUに戻り、加療を続けたが、2 月4日に死亡した。



   【考案】  

      上記死亡症例以外も同様に2種装置での治療を行ったが、意識障害の症例でも現実にはバイ タルサインも安定していた。
     このことから、空気加圧での1種装置による再圧治療の可能性も出てきたと考え、現在の牧田総合病院での再圧治療の準備中
     である。

     また今後全国的にも第2種装置がない地域での再圧治療に関しても、検討を加えていく予定である。しかしやはり減圧症の経験
     がない医師にとっては、重症例がどん な感じか、また重症例がダイビングから上がってすぐに発症するわけではないため、
     今後も重症例の登録や、詳細な診断過程の蓄積が重要になると思われる。

     なお重症例のリスクに関しては最大深度30m以上や潜水時間長期が問題となる印象を受けた。
     初期症状としてはまず皮膚症状での特徴である大理石斑は表皮の微細な血管に空気が入りできるのではないかと思われ、
     重要な症状と思われた。

     また神経症状に関しては、再圧治療が優先されるべきではあるが、MRIな どの画像を併用し減圧症の病態の詳細を検討すべき
     と考えている。また骨頭壊死なども疑った場合も、通常のXPのみでは診断が難しい。ま たダイビング直後に脳血管障害を来した
     場合、 減圧症と考え、診断が遅れる可能性もあり、再圧治療で改善の無い場合は画像診断を考慮すべ きと思われる。

     また神経所見があるからといっ て、MRIに所見があると言うことはなく、脳の空気塞栓の症例で意識障害を来している場合も
     所見を認めないときもあり、あくまでも重要なのは、 画像診断ではなく臨床診断であることを 再度強調はしたい。  

      過去の事例に関するフォローアップ:重症例 で、 地域的に通院可能の症例は現在もフォロー し経過観察中である。特殊な
     症例以外日常生活は可能であるが、排尿排便障害が残存したり、 両下肢麻痺が改善しても残り、リハビリの継続が必要であり、
     減圧症の急性期治療だけではな く、フォローアップが重要であることを強調し たい。